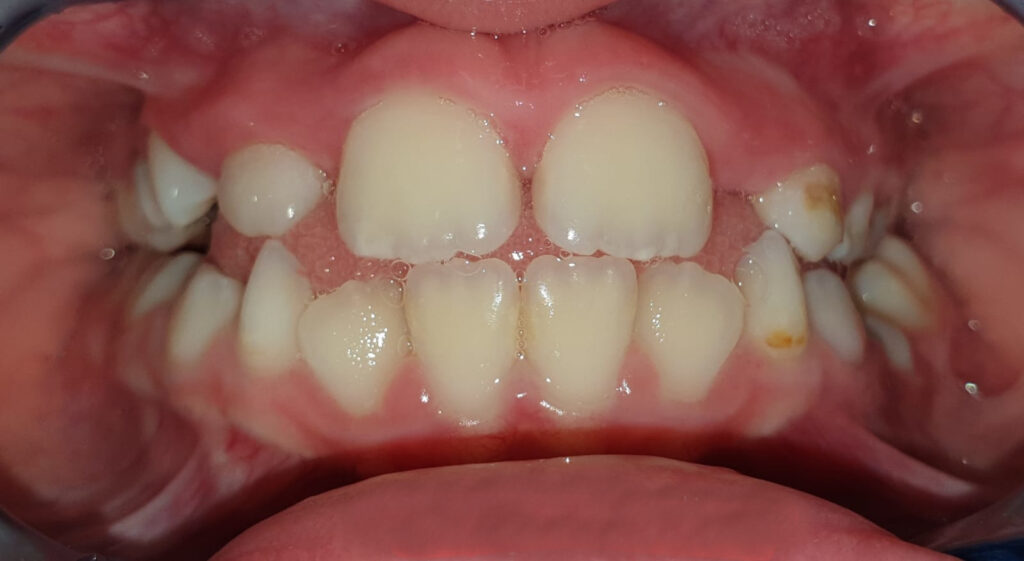
PRIMA
Deglutizione
La deglutizione e il ruolo della lingua
deglutizione del neonato
La deglutizione rappresenta una funzione vitale che si sviluppa molto precocemente, già durante la vita intrauterina. Intorno alla dodicesima settimana di gestazione il feto è in grado di deglutire il liquido amniotico, un’attività fondamentale non solo per l’allenamento neuromuscolare, ma anche per il corretto sviluppo delle strutture cranio-facciali. Alla nascita, la deglutizione si integra con la suzione e con la respirazione, dando origine a un meccanismo complesso e altamente coordinato, indispensabile per l’alimentazione e la sopravvivenza del neonato.
Al centro di questo sistema funzionale si trova la lingua, organo muscolare estremamente specializzato, che svolge un ruolo determinante nella suzione, nella deglutizione e nella stabilizzazione delle vie aeree superiori.
il muscolo stiloglosso e la coordinazione della suzione

Tra i muscoli linguali, un ruolo di particolare rilievo è svolto dallo stiloglosso. Questo muscolo, collegato al processo stiloideo dell’osso temporale, contribuisce ai movimenti di retrazione e sollevamento della lingua, permettendo la corretta formazione del bolo e la sua spinta verso l’orofaringe durante la deglutizione.
Nel neonato, il corretto funzionamento dello stiloglosso è essenziale per una suzione efficace al seno o al biberon. Qualsiasi limitazione della sua mobilità può alterare l’equilibrio tra lingua, palato e mandibola, con ripercussioni sulla qualità della suzione, sulla deglutizione e, di conseguenza, sull’alimentazione e sulla crescita.
Influenza del parto sulle strutture cranio-linguali
Il parto rappresenta un evento fisiologico ma allo stesso tempo altamente stressante per il neonato. Durante il passaggio nel canale del parto, il cranio e le strutture cervicali sono sottoposti a importanti forze compressive e torsionali. In caso di parto lungo, difficoltoso, strumentale o particolarmente rapido, queste sollecitazioni possono determinare tensioni o restrizioni di mobilità a livello cranico e cervicale.
Tali alterazioni possono riflettersi indirettamente anche sulla lingua e sui muscoli ad essa correlati, incluso lo stiloglosso, interferendo con la coordinazione della suzione e della deglutizione. In alcuni casi, queste disfunzioni si manifestano con difficoltà nell’attacco al seno, affaticamento durante la poppata, rigurgiti frequenti o deglutizione inefficace.
Deglutizione, respirazione e sviluppo cranio-facciale
La deglutizione non è una funzione isolata, ma è strettamente connessa alla respirazione e allo sviluppo delle strutture cranio-facciali. Un’alterata funzione linguale nei primi mesi di vita può influenzare la postura della lingua, la conformazione del palato e l’equilibrio muscolare oro-facciale, con possibili conseguenze a lungo termine sulla crescita del distretto maxillo-mandibolare.
Per questo motivo, l’osservazione precoce delle funzioni orali nel neonato assume un’importanza fondamentale in un’ottica di prevenzione.
Il contributo dell’approccio osteopatico
L’approccio osteopatico si inserisce in questo contesto con l’obiettivo di valutare e trattare eventuali restrizioni di mobilità delle strutture craniche, cervicali e linguali. Attraverso tecniche manuali delicate e specifiche, l’osteopata può favorire il ripristino di una corretta mobilità tissutale, migliorando l’equilibrio funzionale tra cranio, collo e lingua.
Nel neonato, il trattamento osteopatico non si sostituisce ad altri interventi medici o odontoiatrici, ma può rappresentare un valido supporto nel favorire una suzione più efficace, una deglutizione fisiologica e un miglior benessere generale.
DEGLUTIZIONE FISIOLOGICA
Fisiologia della deglutizione: ruolo della lingua, della respirazione e della fonazione
La deglutizione è un meccanismo complesso e fondamentale per la nutrizione, che consiste nella propulsione del cibo dalla bocca allo stomaco attraverso una sequenza coordinata di movimenti volontari e riflessi. Secondo la definizione classica di Magendie, questo processo si articola in più fasi funzionali, oggi riconosciute come fase preparatoria orale, fase deglutitoria orale, fase faringea e fase esofagea.

Fase preparatoria orale
Durante la fase preparatoria orale il cibo viene masticato e impastato con la saliva fino a formare il bolo alimentare. In questa fase la lingua svolge un ruolo attivo e altamente raffinato, collaborando con i muscoli masticatori e con i muscoli delle guance e delle labbra per raccogliere il cibo, distribuirlo tra i denti e separare la parte già triturata da quella che necessita di ulteriore lavorazione.
I movimenti alternati e torsionali della lingua, sostenuti dai muscoli intrinseci ed estrinseci (in particolare dagli stiloglossi), permettono un efficace rimescolamento del cibo con la saliva, preparando il bolo alla deglutizione. Questa fase è volontaria e dipende da un preciso controllo neuromuscolare.
Fase deglutitoria orale
Una volta formato il bolo, inizia la fase deglutitoria orale. La punta della lingua prende contatto con le rughe palatine e, attraverso un movimento progressivo dal davanti verso il dietro, schiaccia il bolo contro il palato duro. Contemporaneamente, il palato molle si solleva e si allontana sotto la spinta del bolo, determinando la chiusura velo-faringea e impedendo il reflusso del cibo verso le cavità nasali.
In questa fase, la base della lingua viene spinta posteriormente, soprattutto grazie all’azione degli stiloglossi, convogliando il bolo verso la faringe. Anche questa fase è inizialmente volontaria e rappresenta un momento cruciale del meccanismo deglutitorio.
Fase faringea
La fase faringea è prevalentemente riflessa e caratterizzata da una serie di eventi di protezione delle vie aeree. Si verifica l’elevazione della laringe e dell’osso ioide, la chiusura delle corde vocali vere e false e delle pliche ariepiglottiche, mentre il bolo attraversa l’orofaringe.
La contrazione coordinata dei muscoli faringei consente il passaggio sicuro del bolo, evitando l’aspirazione e garantendo la continuità del processo deglutitorio.E’ la fase più rapida (<1 sec), più critica (protezione delle vie aeree), rigidamente programmata a livello bulbare.
Fase esofagea
Con il rilassamento del muscolo cricofaringeo ha inizio la fase esofagea, durante la quale il bolo viene spinto verso lo stomaco attraverso onde peristaltiche lente e progressive. Questa fase è completamente involontaria e ha una durata variabile, generalmente compresa tra 10 e 20 secondi.
Deglutizione, respirazione e fonazione
Gli stessi muscoli coinvolti nella deglutizione partecipano anche alla respirazione e alla produzione dei suoni del linguaggio. La fonazione e l’articolazione delle parole dipendono da un delicato equilibrio tra flusso d’aria, movimenti della lingua, posizione del palato e apertura delle labbra.
Le consonanti, in particolare, vengono prodotte grazie a specifici punti di articolazione tra lingua, palato, labbra e denti. Alterazioni della funzione linguale o della deglutizione possono quindi riflettersi non solo sull’alimentazione, ma anche sulla qualità del linguaggio e dell’articolazione verbale.
Bilabiali: tra labbro superiore e inferiore: P,B,M
Labiodentali: tra labbro inferiore e incisivi superiori: F,V
Dentali: tra la punta della lingua ed incisivi superiori: T,D,N,L
Alveolari: tra la punta della lingua e alveolari dentari: S,Z,R
Palato-alveolari: parte anteriore della lingua e zona tra alveoli e palato duro: SC di scena, C di cena, G di gente
Palatali: tra dorso della lingua e palato duro: GN,GL,IE di ieri
Velari: tra dorso della lingua e palato molle: K,G,N nasale di anco
Rilevanza clinica e terapia miofunzionale
Qualsiasi alterazione di questo complesso meccanismo, indipendentemente dalla sua origine, può determinare disfunzioni della deglutizione e della funzione linguale. Per questo motivo, la conoscenza approfondita delle fasi deglutitorie, dei muscoli e dei nervi coinvolti è fondamentale per individuare precocemente le disfunzioni e impostare un trattamento adeguato.
La terapia miofunzionale si concentra in particolare sulla fase orale, volontaria e modificabile, con l’obiettivo di ristabilire un corretto equilibrio muscolare, migliorare la funzione della lingua e prevenire conseguenze a lungo termine sullo sviluppo cranio-facciale, sulla respirazione e sulla fonazione.
(Testo rielaborato a fini divulgativi sulla base degli studi del Prof. Ferrante).
PERCHE’ DEGLUTIAMO?

La deglutizione è un meccanismo di modulazione del tono cerebrale mediato da un circuito palato → bulbo → locus coeruleus.
Non è una metafora funzionale:è una catena neuroanatomica precisa.
Lo spot palatino: lo stimolo iniziale
Cos’è:
Per spot palatino si intende una zona recettoriale specifica del palato duro ricchissima di meccanocettori e propriocettori nonché di afferenze trigeminali (V) e glossofaringee (IX)
Non è la saliva lo stimolo primario, ma il contatto lingua-palato in quel punto.
Il nucleo coinvolto: Nucleo del Tratto Solitario (NTS)
Lo stimolo dello spot palatino afferisce principalmente al Nucleo del tratto solitario, NTS, centro integrativo viscerale; riceve afferenze dal V, IX e X nervi cranici, non è solo deglutitorio ma regolatore dello stato neurovegetativo.
Il NTS non si limita ad attivare il CPG della deglutizione, ma invia proiezioni ascendenti e discendenti modulanti.
Connessione NTS → Locus Coeruleus
Dal NTS partono proiezioni verso il Locus coeruleus
Questo passaggio è fondamentale.
Il locus coeruleus (LC):
è il principale nucleo noradrenergico del SNC
regola:
vigilanza
attenzione
tono cerebrale globale
tono posturale e muscolare
In altre parole:
il LC è il regolatore centrale del tono cerebrale.
Cosa fa la deglutizione sul Locus Coeruleus?
lo stimolo palatino → NTS → LC produce una modulazione tonica dell’attività noradrenergica, un riassetto temporaneo del tono cerebrale, una sorta di “reset” tonico.
Questo spiega perché:
la deglutizione è frequente, breve, ripetitiva, automatica
Perché serve ripeterla centinaia di volte al giorno?
Perché il tono cerebrale è continuamente prodotto dal LC stesso in relazione a postura, emozioni, attenzione.
La deglutizione è uno dei meccanismi fisiologici di autoregolazione del sistema LC-dipendente.
Se lo spot palatino:
non viene stimolato correttamente o viene bypassato, il SNC cerca altri punti di scarico.
Ecco perché la lingua va sui denti e compare una spinta linguale scorretta e la deglutizione diventa “atipica o “disordinata”.
I denti diventano organi neurologici di compenso, agendo non solo per funzione masticatoria, ma anche per regolazione del tono cerebrale.
Spot palatino
↓
Afferenze IX–X
↓
Nucleo del tratto solitario NTS
↓
Formazione reticolare bulbo-pontina
Locus coeruleus
↓
Modulazione noradrenergica
↓
Regolazione del tono cerebrale
↓
Organizzazione del pattern della deglutizione
Deglutiamo perché il contatto palatino stimola un circuito bulbo-pontino che, attraverso il locus coeruleus, modula il tono cerebrale.
Quando questo circuito è inefficiente, la funzione si sposta sui denti.
Oltre a questa funzione FONDAMENTALE, come respirare, una deglutizione non fisiologica può:
- Condizionare lo sviluppo ed il mantenimento delle malocclusione.
- Interferire con la stabilità dei trattamenti ortodontici, rendendo meno efficaci e duraturi i risultati terapeutici, anche se l’allineamento dentale appare corretto.
- Contribuire a squilibri muscolari e posturali.
DEGLUTIZIONE E ATTIVITA’ COGNITIVE
Cosa accade quando si deglutisce? Quando la saliva va giù correttamente e non entra nel vestibolo come accade nelle DDD, si forma BDNF, Brain Derived Neurotrophic Factor, prodotto dalle ghiandole salivari.
Questo quando la deglutizione è corretta.
Se invece non lo è, la saliva ristagna nel fornice.
Il BDNF stimola la sopravvivenza e il differenziamento di alcuni neuroni e sinapsi appartenenti al sistema nervoso centrale e sistema nervoso periferico.
Quindi, per 1.500-2.000 volte al giorno, deglutendo, permettiamo al BDNF di agire sul cervello dove è attivo, nell’ippocampo, nella corteccia e nel proencefalo basale.
Queste sono aree vitali per l‘apprendimento, la memoria e il pensiero superiore.
Inoltre pare sia espresso anche nella retina, nei reni, nella prostata, nei motoneuroni, nei muscoli scheletrici e appunto nella saliva.
L’ippocampo e tutta la zona subventricolare sono le nicchie neurogenetiche delle cellule staminali neurali del sistema nervoso centrale dell’adulto.
Locus coeruleus
E’ un punto nel cervello, bilaterale, che produce noradrenalina. È la prima fonte di noradrenalina nel mesencefalo. Le cellule noradrenergiche esplicano un effetto trofico che protegge le cellule dopaminergiche nigro-striatali (originano dalla substantia nigra e proiettano al corpo striato) dai vari insulti neurotossici. Ha quindi un ruolo importante nella malattia di Parkinson. Il Locus Coeruleus è in relazione col trigemino che ha i suoi nuclei, sensitivi e motorio, molto vicini a esso; questi hanno proprio dei contatti stretti e quindi sono in profonda relazione.
Quindi è il trigemino a stimolare la formazione di noradrenalina del Locus Coeruleus.
Fin dalla vita embrionale dà il via alla costruzione della corteccia prefrontale, della differenziazione dei due emisferi, uno emotivo e uno logico, nonché condiziona l’orientamento sessuale dell’individuo.
Il nucleo motore del trigemino innerva i muscoli masticatori, soprattutto il massetere. La velocità di sparo di questo è centinaia di volte superiore a quella di sparo del quadricipite. I segnali occluso-masticatori agendo sull’attività del Locus Coeruleus possono migliorare i processi neurodegenerativi. Il massetere, nell’attività masticatoria, attraverso la stimolazione propriocettiva dei fusi passando dai nuclei sensitivi trigeminali, FR,LC, modulazione noradrenergica, aumenta la NEPRILISINA nel cervello.
La Neprilisina è una sostanza che viene assorbita per via assonica e che è in grado di sciogliere le placche beta-amiloidi, (funzione neuroprotettiva) quelle che si accumulano nell’Alzheimer.
È detta anche Neutral Endopeptidase o CD10 e dipende dallo zinco.
E’ una metallo peptidasi, degrada peptidi biologicamente attivi come appunto le beta-amiloidi, come abbiamo detto, ma anche bradichinina, peptidi natriuretici ecc.
E’ interessante nello scompenso cardiaco e nella malattia di Alzheimer.
E’ formata dagli stimoli dei muscoli masticatori, soprattutto massetere, ed e’ associata a esosomi e trasportata retrogradatamente lungo il nervo trigemino fino all’ippocampo.
Le cellule che la producono sono: neuroni, cellule gliali, endotelio. ( rene, polmone e cervello).
Gli esosomi, delle dimensioni di 30-150 nanometri, si formano dentro le cellule e si chiamano endosomi. Sono come delle bolle e trasportano vari elementi (le proteine mRNA o microRNA, frammenti di DNA, lipidi ed altre molecole).
Sono un mezzo di comunicazione fra le cellule e i tessuti.
Possono viaggiare nel sangue e e modificare il comportamento di altre cellule a cui si legano e o che li assorbono. Sono messaggeri cellulari.
Quindi, la deglutizione è importante per il fattore BDNF e per la noradrenalina del Locus Coeruleus.
Lo fa per almeno 1500-2000 volte al giorno.
L’apparato stomatognatico occupa un terzo della corteccia sensomotoria del sistema nervoso centrale.
La deglutizione è quindi una fonte di vita.
Non è solo mandare giù saliva ma è anche e soprattutto contatto forte in intercuspidazione migliaia di volte al giorno con tutte le informazioni correlate a esso.
(Testo rielaborato a fini divulgativi sulla base degli studi e dell’esperienza clinica del Dr Mauro Libertucci)
DEGLUTIZIONE E OSSIDO NITRICO
L’ossido nitrico è un gas endogeno ed ha la funzione di rilassare la muscolatura liscia dei vasi. Agisce come messaggero paracrino.
Questa produzione diminuisce con l’età facilitando l’aterosclerosi.
La maggior quantità di ossido nitrico, a parte l’endotelio, i macrofagi e le cellule cerebrali, è prodotta dall’endotelio del sistema respiratorio, compreso l’epitelio di rivestimento dei seni paranasali. Questo gas verrà poi inalato col respiro nasale e agisce come vasodilatatore antimicrobico, antivirale, migliorando l’ossigenazione polmonare e combattendo i patogeni.
Esistono due vie fisiologiche per la produzione:
- Via enzimatica L-Arginina (carne, pesce, uova,
legumi, frutta secca) L-Citrullina (anguria, melone)
che viene convertita in L-Arginina - Via nitrati (nitriti)

Gli enzimi che lo producono si chiamano NOsintetasi.
Si distinguono in endoteliali, neuronali ed immunutari.
L’attivazione richiede ioni calcio ed è facilitata da:
- Esercizio fisico
- Respirazione nasale
- Alimentazione: si trova nei nitrati (barbabietola, rucola,
spinaci, lattuga, sedano) e nitriti. - Contatto del sangue con endotelio sano.
Proteggono l’ON dalla degradazione: VIT C, VIT E, Flavonoidi, Resveratrolo, Olio Evo.
Attenzione ai colluttori antibatterici forti che bloccano questa via; quindi respirazione orale più colluttorio riduce l’ossido nitrico.
L’ossido nitrico si può aumentare:
- La respirazione nasale lenta
- Brevi pause respiratorie controllate (respiro di Buteiko)
- Umidificazione dell’aria
- Attività fisica: l’esercizio aumenta l’ossido nitrico, migliora la funzione endoteliale e svolge un effetto sinergico con dieta e respirazione nasale.
Il metodo migliore è associare l-citrullina con una dieta ricca di nitrati e una respirazione nasale. Quest’ultima favorisce l’apporto di ON ai polmoni, l’aria filtrata è umidificata e riscaldata, migliore ossigenazione ed effetto antimicrobico.
Questo è il motivo per cui dormire con la bocca aperta, russare ed avere apnee ostruttive del sonno sono condizioni associate a:
- Stress ossidativo
- Ipertensione
- Rischio cardiovascolare aumentato
In conclusione, migliorare la deglutizione aiuta a ripristinare una respirazione nasale con un conseguente miglioramento dell’omeostasi circolatoria e cerebrale.
DEGLUTIZIONE PATOLOGICA
Il disordine della deglutizione è una condizione patologica caratterizzata da un’alterazione delle diverse fasi del processo deglutitorio con un transito inefficace o pericoloso del bolo alimentare dalla cavità orale allo stomaco.
Tale compromissione può comportare rischi nutrizionali e respiratori, inclusi malnutrizione e disidratazione.
Quando la patologia interessa la prima parte del processo, si definisce il quadro di deglutizione atipica o infantile, terminologia oggi desueta, meglio definita con un termine più ampio: disordine della deglutizione (DDD). (Dr Mauro Libertucci)
Il disordine della deglutizione è un disturbo orofunzionale caratterizzato da un pattern deglutitorio disarmonico rispetto alla fisiologia matura, con persistenza o adozione di modalità infantili o compensatorie (es. interposizione linguale, iperattività periorale) durante la fase orale della deglutizione.
Tale alterazione può influire sull’equilibrio oro-cranio-faciale, sulla funzionalità respiratoria e fonatoria, sull’omeostasi occlusale e, secondo le ultime ricerche scientifiche del prof. De Cicco,sulle funzioni neurocognitive.
Si manifesta con movimenti linguali e/o periorali non fisiologici (interposizione linguale anteriore o laterale, contrazioni compensatorie delle labbra o del massetere, scarsa stabilizzazione linguale) e può contribuire allo sviluppo o al mantenimento di malocclusioni, squilibri miofunzionali orofacciali e alterazioni posturali cranio-cervicali.
Per molti anni, non conoscendo correttamente i meccanismi etiopatogenetici, non ci sono stati adeguati meccanismi di cura. Oggi, un corretto inquadramento consente un recupero della funzione e, di conseguenza, delle modificazioni strutturali dell’apparato stomatognatico nonchè delle funzioni cognitive.
QUALI SONO I SEGNI DEI DISORDINI DELLA DEGLUTIZIONE:
- Presenza di cheiliti angolari, labbra secche o con crosticine
- Mancanza di contatto anche minimo del gruppo frontale o beanze
- Presenza di tartaro sulla faccia vestibolare inferiore degli incisivi
- Presenza di lingua con postura alta e di grosse dimensioni a volte con impronte dei denti sui bordi
- Non riesce a contrarre il massetere senza usare l’orbicolare
- Non riesce a deglutire con i masseteri contratti ( test di Libertucci)
- Non riesce ad utilizzare il circuito gammatonico di nessun muscolo del corpo se contemporaneamente fa una protrusione linguale ( test kinesiologico di Libertucci)
- Nella protrusione della lingua ci sono fascicolazioni
- I diametri delle pupille sono asimmetrici ( si vede solo con un pupillometro)
Il percorso terapeutico
- Quando la valutazione clinica evidenzia una deglutizione atipica o uno squilibrio funzionale, il trattamento viene costruito in modo personalizzato, tenendo conto dell’età, della maturità neuromuscolare e delle caratteristiche individuali del paziente.
La terapia non si limita a “correggere” un gesto, ma mira a riprogrammare una funzione, attraverso strumenti e strategie che favoriscono un apprendimento stabile e consapevole.
In base alle necessità cliniche, il percorso può prevedere l’utilizzo di attivatori e dispositivi funzionali progettati per guidare correttamente la posizione della lingua allo spot e favorire un pattern deglutitorio più fisiologico.
Tra questi rientrano dispositivi specifici come - Equilibratori elastodontici
- Froggymouth
- Niki
- Hirundo ( tecnologia HIT) e altri ausili selezionati caso per caso.
Questi strumenti non lavorano in modo passivo, ma stimolano attivamente la funzione, aiutando il paziente a percepire e mantenere posture corrette nel tempo.
Esercizi funzionali e rieducazione consapevole
Il trattamento viene sempre affiancato da un programma di esercizi miofunzionali, mirati a:
- Migliorare il controllo e la coordinazione della lingua;
- Riequilibrare la muscolatura orofacciale;
- Rendere automatica la corretta modalità deglutitoria.
A questo si associano, quando indicato, esercizi di coerenza cardiaca, tecniche di respirazione e visualizzazioni guidate, strumenti utili per favorire: - Una migliore integrazione corpo–funzione;
- La consapevolezza del gesto;
- La stabilità del risultato nel tempo.
- Un percorso che coinvolga attivamente il paziente
La terapia funzionale richiede partecipazione e continuità.
Il paziente non è un soggetto passivo, ma parte integrante del percorso: comprendere il perché degli esercizi e il loro ruolo nella stabilità del trattamento è fondamentale per il successo terapeutico.
L’obiettivo finale è rendere la funzione corretta spontanea e automatica, affinché il nuovo equilibrio si mantenga anche a lungo termine.
La terapia è efficace quando il cambiamento funzionale diventa naturale.
Gli strumenti aiutano, ma è l’integrazione tra corpo, funzione e consapevolezza a garantire risultati stabili.
Naturalmente i risultati sono direttamente proporzionali all’impegno costante ed assiduo del paziente.
Bibliografia e riferimenti
- Antonio Ferrante – Fisiologia e patologia della deglutizione
- Antonio Ferrante – Manuale pratico di terapia miofunzionale
- Daniel Garliner – Importanza di una corretta deglutizione
- Federazione Logopedisti Italiani – La deglutizione
- Antonio Amitrano, Francesco Benso – Rieducare la deglutizione atipica
hirundo
Hirundo è il primo dispositivo al mondo che utilizza la tecnologia H.I.T. per facilitare il ripristino della deglutizione fisiologica.
Nasce specificatamente per contrastare il fenomeno crescente nella popolazione mondiale dei disordini della deglutizione.
Il recupero di una deglutizione fisiologica è fondamentale per risolvere moltissime problematiche presenti nell’apparato stomatognatico e per prevenire danneggiamenti di tutte le componenti del sistema stesso: Denti, Parodonto, Tessuti Molli, Ossa Mascellari ed Articolazioni Temporo Mandibolari.
Hirundo, mediante l’azione di rieducazione ad una deglutizione fisiologica è un ausilio fondamentale in tutte le branche dell’Odontoiatria: Ortodonzia, Gnatologia, Protesi, Parodontologia, Conservativa, Endodonzia.
Hirundo è favorevolmente impiegato prima di qualunque terapia odontoiatrica nei pazienti che manifestano un disordine della deglutizione, indipendentemente dall’età.
Hirundo è un dischetto in Mylar di 24 mm di diametro che va applicato sulla pelle tramite del nastro anallergico.
E’ un supporto a prevalente induzione ionica (da poco in dotazione la forma ADV in prevalente induzione fotonica) che emette segnali elettromagnetici a bassissima intensità codificati per facilitare il ripristino di una deglutizione fisiologica.
Quando Hirundo viene applicato sulla pelle la differenza di potenziale tra il dispositivo e la cute induce una delocalizzazione modulata di cariche elettriche che producono segnali elettromagnetici a bassissima intensità e con precise lunghezze d’onda. Vengono così trasmesse da Hirundo segnali elettromotori di 12 muscoli in un atto di deglutizione fisiologica, favorendo così la sostituzione di un engramma neuromuscolare scorretto con uno fisiologico. ( Informazioni tratte dal sito www.hirundo4life.it del Dott. Mauro Libertucci).
froggymouth
Froggymouth è un dispositivo funzionale che agisce in modo differente da tutti gli altri dispositivi per la rieducazione funzionale presenti sul mercato.
Questo dispositivo è stato progettato e ottimizzato per il comfort dei suoi pazienti.
Prodotto in Francia con un materiale flessibile, il TPE (Elastomeri Termoplastici), che non contiene né lattice né ftalati ed è certificato CE.
Indossarlo 15 minuti al giorno, ad esempio quando il paziente è davanti alla televisione, è sufficiente per essere efficace, in quanto il suo concetto si basa sul lavoro di Eric Kandel, premio Nobel per la medicina nel 2000 per il suo lavoro sulla memoria a breve e lungo termine.
Questo limitato tempo di utilizzo nelle ore diurne non interferisce con il sonno del bambino così importante per l’infanzia.
Funzionamento
Come può un dispositivo così piccolo essere così efficiente e utile? Occorre capire che la non corretta posizione dei denti è il risultato di uno squilibrio muscolare nel funzionamento quotidiano dell’equilibrio orale della lingua e che non ha nulla di ereditario.
Per molto tempo si è creduto che il trattamento dovesse essere effettuato in età adolescenziale per non essere ostacolati dalla crescita, pertanto, non sono stati fatti tentativi per comprendere la causa delle deformazioni.
Froggymouth cambia la direzione delle forze alla radice dello squilibrio, in modo che vadano nella stessa direzione del dispositivo anziché opporvisi. Una volta rimosse le cause del problema, i dispositivi correttivi non devono più affrontarle, rendendo il trattamento più rapido e stabile.
Rilevate e corrette queste disfunzioni, a partire dai 4 anni, è possibile consentire anche una naturale correzione delle deformazioni
Vantaggi
Oggi tutti i trattamenti danno ottimi risultati ma con Froggymouth si possono ottenere 3 vantaggi in più, 3 componenti essenziali per un eccellente trattamento:
- Maggiore rendimento
- Lunga durata
- Elevata stabilità
Ogni paziente desidera ottenere un trattamento efficace, veloce e soprattutto stabile.
Niente è peggio di vedere il risultato di anni di trattamento scomparire in pochi anni dopo averlo terminato.
Lo stesso vale per il professionista e per la sua etica, influendo negativamente sulla sua reputazione rispetto all’efficacia del trattamento.
Froggymouth con le sue 3 caratteristiche aggiuntive: Rendimento, Durata e Stabilità, tiene conto di questi aspetti ottimizzando le forze funzionali di ogni paziente.
PERCHE’ SOLI 15 MINUTI AL GIORNO E DAVANTI ALLA TV
“Quando si lavora sul subconscio non è necessario lavorare a lungo quanto piuttosto di essere costanti”
(E.Kandel Premio Nobel per la medicina nel 2000)
Quindi 15 minuti al giorno sono sufficienti per stimolare il subconscio del paziente. L’obiettivo è la creazione di un nuovo pattern deglutitorio lavorando, sotto il controllo del nervo trigemino, sull’attivazione dei circuiti neuronali che generano e gestiscono gli automatismi.
Bisogna indossarlo mantenendo una postura della testa parallela al pavimento. Così facendo, con la complicità del sistema limbico, il nuovo pattern deglutitorio si potrà sviluppare a livello sottocorticale, in maniera involontaria.
Secondo le scoperte di Kandel, l’apprendimento di origine sottocorticale implica la creazione di nuovi percorsi neuronali attraverso sinapsi che stabilizzano in maniera perenne le nuove acquisizioni.
come si utilizza froggymouth
casi clinici
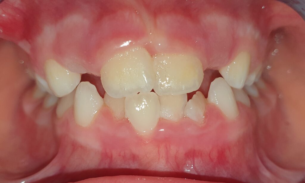
DOPO
Cross sinistro in dentatura mista
PRIMA
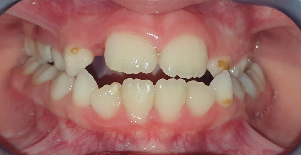
DOPO
Affollamento dentale in dentatura mista
