“Un essere umano è una parte di un tutto che noi chiamiamo Universo” (Cit. A. Einstein)
Dentosofia
ATTIVATORI ELASTODONTICI
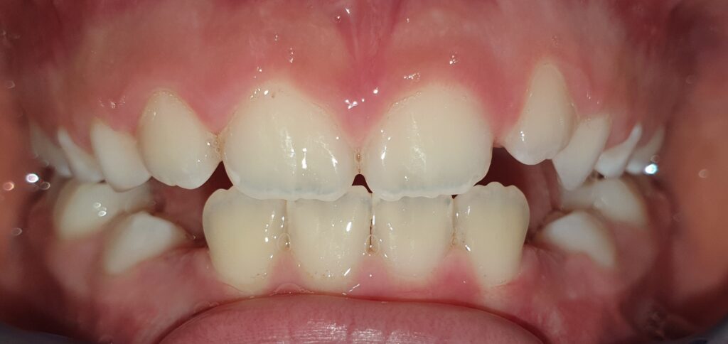
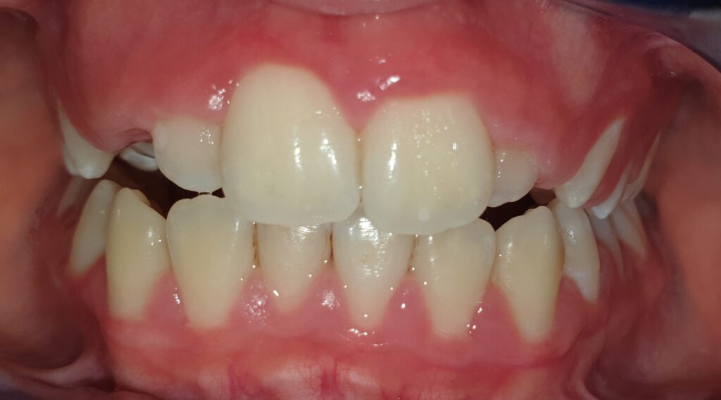
Oggi esiste un’alternativa dolce e rimovibile ai fili e ferri che mettiamo ai bimbi per allineare i denti affollati ed allargare i palati stretti, si chiamano attivatori elastodontici.
Sono di diverse forme e colori (diversa è la mescola del materiale di cui sono composti: silicone, polimero-elastomero, ecc.).
Si scelgono in base alla forma dell’arcata (triangolare, quadrata o tonda), in base alla distanza delle cuspidi vestibolari dei molari superiori (i sesti o i settimi), in base alla classe dentale od alla malocclusione (morso aperto, morso coperto, cross).
Lavorano solo sulle arcate dentali e non sui denti.
Gli attivatori plurifunzionali agiscono attivando il corretto funzionamento della DEGLUTIZIONE e della RESPIRAZIONE (spesso si associa alla deglutizione atipica una respirazione orale).
Il corretto posizionamento della lingua allo spot palatino comporta una stimolazione alla crescita dell’osso mascellare con un aumento del diametro trasversale e quindi un’espansione della volta palatina che facilita un’eruzione più armoniosa dei denti.
Inoltre, l’attivatore facilita la respirazione nasale che comporta un maggior afflusso di ossigeno al tessuto cerebrale (fabbisogno di O2 cerebrale del 25% rispetto al totale) con conseguenze significative sulla crescita armoniosa del bambino.
È una terapia semplice, naturale e non invasiva e può essere definita anche ortopedia cranio-oro-facciale. I risultati si possono osservare oltre che in denti e occlusione, anche nelle espressioni del viso e nella postura.
Tutto va verso l’armonia.
Anche il carattere del bambino si sposta verso l’equilibrio (se molto agitato si rasserena e quando troppo timido si apre e comunica di più).
La forma in natura è indissolubilmente legata alla FUNZIONE. Una influenza l’altra.
Un’altra importante azione del dispositivo è quella DECONTRATTURANTE, alleviando le problematiche muscolo-tensive del distretto cranio-facciale.
Trova quindi valore nelle riabilitazioni delle articolazioni temporomandibolari.
L’azione riabilitativa si riflette su tutto il sistema: denti, muscoli, ATM, guance, labbra, ossa mascellari e mandibola, correggendo le abitudini viziate e i dimorfismi.
Non sostituiscono comunque le classiche terapie ortodontiche classiche (se la compliance del bambino è negativa, oppure residuano necessità di allineamento dei denti) ma si integrano in un discorso più ampio di riabilitazione ortodonticoscheletrica, che porta ad un’armonizzazione generale del sistema nella sua globalità.
Gli esercizi devono essere:
REGOLARI ed IN PIENA CONSAPEVOLEZZA, come fossero esercizi di meditazione.
Tutta l’attenzione deve essere concentrata sulla lingua che fa l’esercizio, con gli occhi chiusi, in una posizione comoda.
Il trattamento si rivaluta ogni sei mesi. Se non ci sono risultati si passa ad altri apparecchi funzionali, Planas oppure individuali.
Durante il giorno l’attivatore plurifunzionale da l’informazione e durante la notte la registra. Se non lo fa di giorno, la notte non può memorizzare il movimento.
Se non si segue il protocollo corretto, il cervello non può registrare adeguatamente la funzione.
Ci vogliono circa dai 2,5 ai 3 anni perchè la funzione sia registrata e non recidivi!!!
Nel bambino, osteopata e logopedista sono fondamentali.
Noi stabilizziamo il lavoro dell’osteopata e lui ripulisce dalle interferenze (traumi vari) che possano pregiudicare i nostri risultati.
Attenzione: ai piccoli sotto i 7 anni non facciamo radiografie, se necessario facciamo firmare i genitori. Fare diagnosi di agenesia o altro non ci cambia niente… possiamo aspettare.
La 3a classe va seguita fino a 18 anni circa, a fine crescita.
Il piano di lavoro dura circa 3 anni, se il paziente va da logopedista ed osteopata. Se non fa correttamente gli esercizi si va anche oltre.
I DENTI COME I RAGGI DI UNA RUOTA
I denti sono, simbolicamente, come i raggi di una ruota: senza alcuni di essi la ruota continua ad andare fino a quando, perdendone tanti, l’equilibrio non si mantiene più e la ruota non può più andare avanti.
Intorno ai denti esiste una persona, i denti sono collegati al resto del corpo, in modo reciproco. Possono cagionare, per alterazioni patologiche, sindromi dolorose nel resto del corpo, ma possono anche essere vittime di patologie a distanza (traumi craniali, sacro-coccigei, variazioni nei piedi, ecc.).
Intorno ai denti c’è una persona che VIVE; occorre passare da una visione parziale, di organo, limitata, ad una visione unitaria, olistica o globalista.
L’equilibrio della bocca è espressione dell’equilibrio della persona ed in senso più ampio dell’equilibrio di questa persona nel suo contesto sociale.
I bambini hanno le carie per acidosi metabolica. Il pH acido del sangue sottrae il calcio dai denti. Le carie, è stato dimostrato, sono condizionate dallo stato emozionale.
Nella bocca esiste una ghiandola, la parotide, che secerne, sotto l’influenza di ipofisi e ipotalamo (quindi apparato emozionale), un ormone regolatore del flusso del liquido dei tuboli dentali. Questo flusso, di regola, va dall’interno verso l’esterno, ma se si inverte determina la formazione della carie (Roberto Robba).A livello sensoriale cerebrale le parti del corpo sono rappresentate in modo diverso a seconda delle presenze recettoriali. Le mani, i piedi e la testa sono le parti più rappresentate (Homunculus cerebri).
SIGNIFICATO DEI DENTI
Come mastichiamo?
Masticare di più a destra o a sinistra?
Masticare da entrambi i lati vuol dire poter pensare ed agire con sensatezza, con equilibrio.
Una donna che mangia a destra vuole piacere al padre e cerca indipendenza, vuole potere, vuole fare.
Un uomo che mangia a sinistra è creativo, sensibile, spirituale e passivo.
Un morso profondo indica una persona introversa e chiusa. Un bambino che gioca da solo, cerca di nascondere la propria interiorità ed ha tanti pensieri.
Un morso aperto indica una persona che vive in un mondo virtuale e vuole evitare gli scontri.
Un morso incrociato è da bambino rigido e testardo, da adulto non ascolterà.
I conoidi indicano sudditanza verso un genitore (a destra il padre, a sinistra la madre).
L’agenesia indica un potenziale spirituale che non sarà rappresentato a livello fisico.
Linea mediana spostata a destra: persona che fa, maschile, non ascolta se stessa.
Linea mediana a sinistra: persona che ascolta se stessa, è più femminile, creativa, sensibile.
I denti e la psiche sono correlati.
Se cambia il rapporto dentale cambia anche la visione del mondo.
Se cambia la visione del mondo cambia di conseguenza il proprio futuro.
Il futuro non deve essere una conseguenza ineluttabile del passato ma, al contrario, si può creare un futuro secondo i propri desideri.
Tutte le azioni sono la conseguenza di ciò che si sente psichicamente.
Un’occlusione scorretta blocca il pensiero e porta a ripetere le stesse azioni, continuamente.
L’affollamento dentale è anche sotto il profilo mentale. Con l’attivatore plurifunzionale si sta nel presente e si ha molta speranza, generando nuove azioni.
La bellezza è il risultato dello stato di salute di una persona.
L’equilibrio della bocca è la causa della bellezza.
LA BOCCA
Appena nati la bocca è la protagonista:
- RESPIRARE
- URLARE
- DEGLUTIRE
- MANGIARE
La bocca è il primo centro immunologico, primo filtro per batteri e virus.
Secondo la MTC (Medicina Tradizionale Cinese) è l’unica zona dove passano tutti i meridiani, che si incontrano sul palato, a livello dello SPOT, dove un fascio nervoso mette in contatto la bocca con l’ipofisi.
L’ATM è il secondo centro regolatore del corpo, il primo è il rene.
L’ATM ha il 70% delle terminazioni nervose sensitivo motorie.
Alla masticazione corrisponde l’indole di una persona: alla 3a classe corrisponde una persona che FA E POI PENSA COSA HA FATTO, alla 2a classe corrisponde una persona che PENSA MOLTO PRIMA DI FARE.
I pazienti disfunzionali possono avere vari sintomi: 80% cervicalgia per deglutizione scorretta, 50% mal di schiena per sindrome della GLOSSOPTOSI.
La lingua governa 45 muscoli, se lo fa male i disturbi saranno tantissimi. Ad ogni deglutizione si scaricano due kg sulla schiena.
La lingua è uno strumento per eccellenza per ortodonzia, si muove in avanti ed indietro, indietro fino a due chili ed in avanti fino a 800 grammi.
DENTI E RESPIRAZIONE
Quando deglutiamo i denti si TOCCANO SEMPRE, 1800 volte al giorno.
I denti sono altamente mineralizzati, ed i minerali tengono memoria degli eventi (Pierre Gilles, studio sui cristalli liquidi).
Quando mettiamo l’attivatore plurifunzionale che lascia i denti liberi di riprendere gli spazi, questi possono restituire memorie del passato, e comunque cambia le memorie della bocca e consente nuovi engrammi per quella persona, più vicini all’equilibrio.
Ciò farà emergere le qualità potenziali di questa persona.
L’attivatore cambia la propriocezione fine.
Nota: esiste una correlazione fra denti e ORGANI E MUSCOLI.
Il dente è l’organo sensoriale più raffinato che esista.
Nota:
1 classe: lingua sullo spot palatino
2 classe: lingua che spinge in avanti, mandibola retrusa
3 classe: lingua bassa, mandibola avanzata
Capire come RESPIRA il bambino, se è un respiratore orale occorre valutare se continuare la terapia.
La respirazione orale è correlata anche a: piedi piatti, eccesso di muco (cibo come latte o farine raffinate), parto precipitoso, traumi con blocco respiratorio craniale, morso crociato, incubi notturni e morso inverso.
Lo spot palatino si trova nella zona retroincisiva, la sua stimolazione produce per stimolazione del locus ceruleus, melatonina e serotonina.
